逸品イメージ
インプラント・審美歯科

インプラントを使って40年。歯が一本もなかった人が20代の時の様に歯が入った、手を当ててわらっていたのが、口を大きく開けて笑えるなど、歯のコンプレックスがなくなった、歯の噛み合わせを治したら肩が凝らなくなった等、信じられない事が起こります。

三友歯科医院
あなたも20代のスマイルを取り戻してみませんか?
当院は勝田駅より歩いて7分。治療目的は、機能的・審美的に優れ、永く保つことを基本理念にしています。しかし目標達成には、明確なゴールを治療に参加する全てのスタッフと患者さまが理解し、協力努力して初めて達成させるものだと理解しております。一方通行では絶対にうまくゆきません。目標設定には診断が必要です。それを総合的に歯周病、矯正、咬合(かみ合わせ)、審美の観点から診断します。金属アレルギー、歯科恐怖症の方もお気軽にご相談ください。
お店からのご案内
お店からのご案内イメージ
矯正治療
歯を削ったりしないで治せる治療法。軽度なら、はめるだけでも歯並びは良くなります。
お店からのご案内イメージ
ラミネートベニア
歯全体を削る事無く、かけたり色が変わっている所を表面だけ削り、コンタクトレンズのように貼っていく。
お店からのご案内イメージ
インプラント治療
10年保証。長期に安定し、自分の歯を取り戻せる治療法。
お店からのご案内イメージ
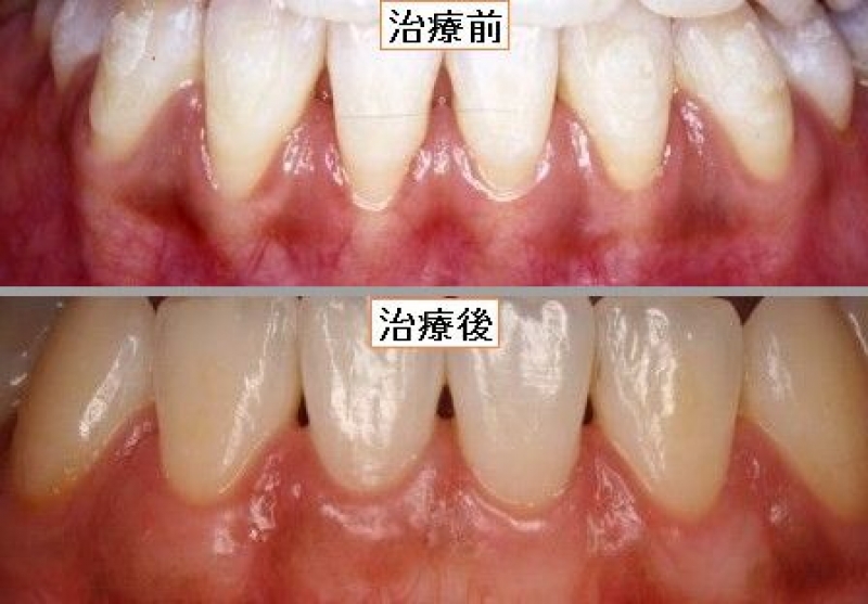
歯肉移植
歯肉が退縮していて見た目に悪い、歯ブラシするとしみる・・などの方に最適。
お店からのご案内イメージ
ホワイトニング
綺麗に白い歯にしたい方、大きな口を開けて笑いたい方。
お店の概要
店舗イメージ 店舗イメージ
営業時間 9:00~19:00(平日)・9:00~17:00(土曜日)
定休日 木曜日・日曜日・祭日
住所 茨城県ひたちなか市石川町14-6 コルメ石川
電話番号 029-275-1188
駐車場 有り
その他
前のページに戻る
このページのトップへ